Портфолио
Вместо удаления сохранение зуба
Перелечивание зуба с кистой под микроскопом
Экструзия и сохранение зуба, сломанного глубоко под десну
Установка импланта по шаблону
Новая опора для зубов
Пломба выпала — зуб спасли
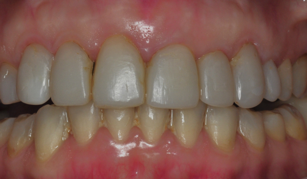
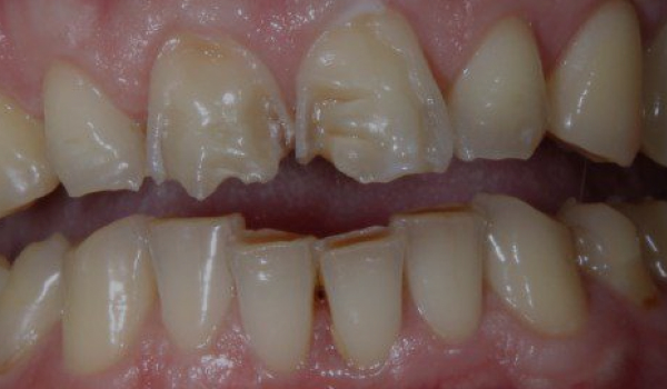
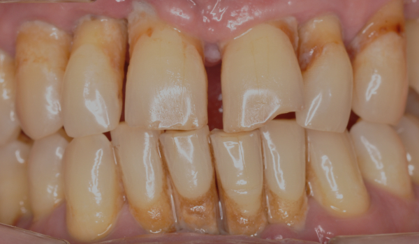
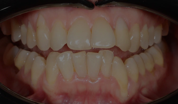
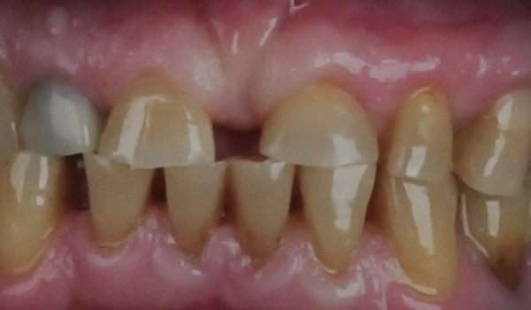
От сколов к идеальной линии улыбки
Имплантация зуба после перелома
Красивый результат
Сохранение зуба при наличии кисты, проростающей в гайморову пазуху
Комфорт, функция и эстетика в одном решении
Проблема межзубных промежутков
Сложный ортодонтический случай без операции
Коррекция прикуса и скученности на элайнерах (капах)
Лечение после неудачной ортодонтии
Установка импланта с пластикой десны при сахарном диабете