м. Третьяковская (Москва)
Голиковский переулок, 5
Время работы:
пн-вс: 9:00 — 21:00

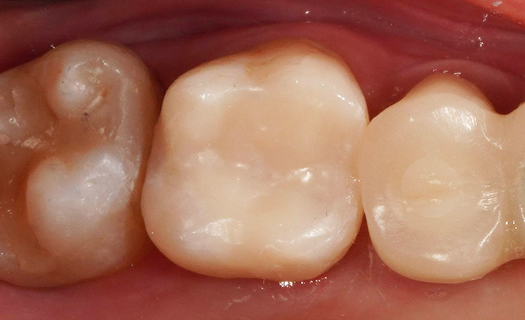
Перелечивание зуба с кистой под микроскопом

Проблема: У пациента отек щеки, боли самопроизвольные, усиливающиеся при приеме пищи, неудачное первичное лечение зуба (старыми методами).

Цель лечения: Помочь пациенту избавиться от болевых ощущений, избежать удаления зуба.

Лечение: Проведено эндодонтическое перелечивание зуба под дентальным микроскопом, что позволило точно выявить анатомические особенности корневых каналов и устранить последствия ранее некачественного лечения. После купирования воспалительного процесса (киста) каналы герметично запломбированы. Коронковая часть зуба восстановлена для сохранения функции и герметичности до этапа постоянного протезирования.

Результат: После проведённого лечения болевые ощущения полностью устранены, отёк щеки исчез, воспалительный процесс купирован. Зуб сохранён, восстановлена его функция. Установлена коронка, что позволило полностью восстановить анатомическую форму и жевательную эффективность зуба.


Стоматолог-терапевт: Будаева Ирина Олеговна

Стоматолог-ортопед: Калинин Антон Сергеевич

Внимательно выслушаем о проблеме, подберём подходящего врача и подробно объясним, как будет проходить лечение.

Ответим на все вопросы

и сделаем процесс понятным и комфортным

Загрузка...