Вместо удаления сохранение зуба
Проблема: У пациента жалобы на боли при накусывании и дискомфорт во время жевания. Ранее обращался в другие клиники, где было рекомендовано удаление зуба ввиду невозможности его перелечивания.
Цель лечения: Перелечить зуб, помочь пациенту избавиться от данной симптоматики, а также сохранить зуб без удаления.

Прогноз и дальнейший план: После успешного перелечивания ожидается полное исчезновение болевых ощущений и восстановление комфортного приема пищи. Для долгосрочного сохранения зуба и предотвращения риска его перелома планируется восстановление с использованием коронки.
Лечение: Проведено перелечивание корневых каналов под микроскопом с удалением ранее внесённых материалов, тщательной механической и медикаментозной обработкой каналов и их последующей герметичной обтурацией. После лечения каналов выполнено восстановление коронковой части зуба.
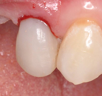
После завершения эндодонтического лечения и стабилизации состояния зуба врач-ортопед провёл подготовку зуба под протезирование. Изготовлена и зафиксирована коронка. (Фото 2 и 3).
Результат: Болевые ощущения при накусывании полностью устранены, дискомфорт при жевании отсутствует. Зуб сохранён и полноценно восстановлен. После установки керамической коронки восстановлены анатомическая форма и жевательная функция.
Стоматолог-терапевт: Будаева Ирина Олеговна
Стоматолог-ортопед: Калинин Антон Сергеевич