м. Третьяковская (Москва)
Голиковский переулок, 5
Время работы:
пн-вс: 9:00 — 21:00

Установка импланта по шаблону

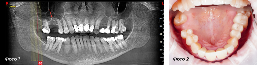
Проблема: пациентка обратилась с жалобами на отсутствие зуба на верхней челюсти справа (Фото 1 — стрелка указывает, где нет зуба). У пациентки недостаточный объем костной ткани по высоте, для установки импланта. Нужно проводить большую операцию по наращиванию костной ткани в этой области (открытый синус-лифтинг), то есть подсаживать костный материал в верхнечелюстную пазуху справа (в гайморову пазуху).

Фото 2 —  Отсутствует зуб наверху справа (вид в зеркало).

Лечение: У пациентки в области установки будущего импланта имеется ровно посередине выступающий костный гребень (септа — анатомия пазухи), чтобы не проводить большую операцию, было принято решение изготовить хирургический шаблон (3-Д модель) для установки импланта, чтобы при установке попасть ровно в костный выступ и получить дополнительную костную высоту.

Шаблон был спланирован и изготовлен в течение, недели. Для планирования шаблона были нужны — сканирование  челюстей и компьютерная томография. Фото 3 — шаблон и инструменты для имплантации по шаблону.

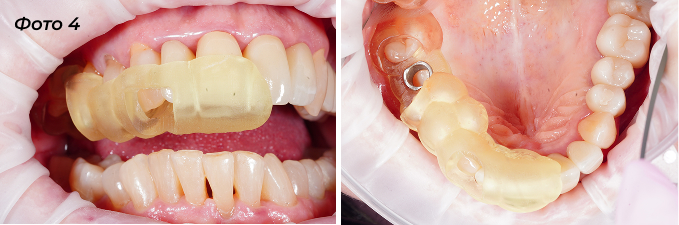
Фото 4 — шаблон непосредственно в полости рта, закреплен на зубах.

Результат: Пациентке был установлен имплант — системы Straumann, ровно в костный выступ пазухи (получена дополнительная костная высота), было проведено небольшое наращивание костной ткани (закрытый синус-лифтинг).

Был проведен контрольный рентген (Фото 5 — желтым цветом отмечен уровень кости до операции, красным — высота кости после операции.)
 
Фото 6 — в полости рта ушитая рана после установки импланта. 

Лечащий врач:  Павлова Ольга Юрьевна

Внимательно выслушаем о проблеме, подберём подходящего врача и подробно объясним, как будет проходить лечение.

Ответим на все вопросы

и сделаем процесс понятным и комфортным

Загрузка...