м. Третьяковская (Москва)
Голиковский переулок, 5
Время работы:
пн-вс: 9:00 — 21:00

Новая опора для зубов

Проблема: пациент обратился с жалобами на подвижность всех зубов на верхней и нижней челюстях, жевать ими было очень сложно (Фото 1, 2).

Решение: сохранить зубы, к сожалению, было уже невозможно, так как оба зубных ряда качались. Совместно хирург Павлова Ольга Юрьевна  и ортопед Калинин Антон Сергеевич разработали поэтапный план лечения, направленный на восстановление полноценной жевательной функции и эстетики улыбки.

Первая операция была проведена на верхней челюсти.

Пациенту были удалены некоторые зубы на верхней челюсти, остальные оставлены под опору для временного протеза (Фото 3, 4). 

Был изготовлен хирургический шаблон для установки имплантов (Фото 5, 6).

Было установлено 5 имплантов на верхней челюсти, 6-ой имплант был установлен ранее  (Фото 7, 8). Сразу дать нагрузку на импланты не решились в связи с тем, что костная ткань у пациента была рыхлая.

Был изготовлен и установлен временный протез с временной опорой на свои оставшиеся зубы (Фото 9, 10).


Вторая операция была проведена на нижней челюсти.

Через 4 месяца после первой операции было проведено оперативное вмешательство на нижней челюсти. Была выбрана другая тактика, были удалены сразу все зубы (Фото 11).  Установлено 6 имплантов  (Фото 12) по хирургическому шаблону  (Фото 13).

Изготовлена и установлена временная конструкция на нижнюю челюсть (Фото 14, 15).

Готовый временный протез (Фото 16) установлен на нижнюю челюсть и фиксирован сразу на имплантах. Далее планируется заменить временные конструкции на верхней и нижней челюстях (Фото 17) на постоянные.

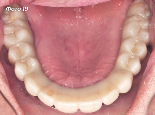
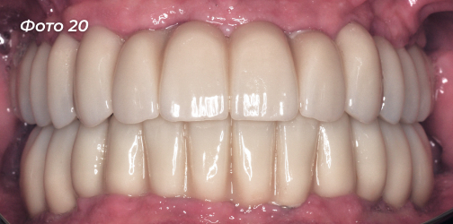
Установлены постоянные конструкции на верхней и нижней челюстях (Фото 18, 19, 20, 21).

Стоматолог-хирург: Павлова Ольга Юрьевна

Стоматолог-ортопед: Калинин Антон Сергеевич

Внимательно выслушаем о проблеме, подберём подходящего врача и подробно объясним, как будет проходить лечение.

Ответим на все вопросы

и сделаем процесс понятным и комфортным

Загрузка...