Красивый результат
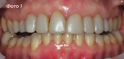
Проблема: После ортодонтического лечения в другой клинике пациентке потребовалось завышение прикуса в боковых отделах и проведение постоянного протезирования (Фото 1).

Лечение: В боковых отделах были установлены коронки, на передних зубах — виниры на верхней и нижней челюстях.
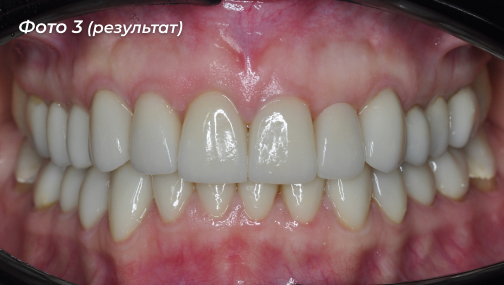
Результат: Гармоничная улыбка и комфортный прикус (Фото 2 и 3).
Стоматолог-ортопед: Калинин Антон Сергеевич