м. Третьяковская (Москва)
Голиковский переулок, 5
Время работы:
пн-вс: 9:00 — 21:00

Комфорт, функция и эстетика в одном решении

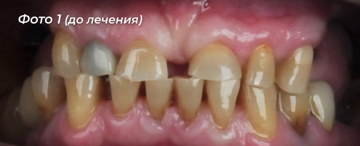
Проблема:  у пациента отсутствовали жевательные зубы, было выраженное снижение прикуса. Пациент отмечал трудности с пережёвыванием пищи, быструю утомляемость челюстей и недовольство внешним видом улыбки (Фото 1, 2).

Лечение:  Был разработан поэтапный план восстановления функции и эстетики. На первом этапе  пациенту были  установлены импланты на верхней и нижней челюстях справа. На втором этапе  была проведена исплантация с левой стороны (Фото 3).

На этапе протезирования проведено лечение кариеса некоторых зубов (Фото 5, 6, 7, 8).

Результат: Восстановлена полноценная жевательная функция и правильная высота прикуса. Нагрузка на зубы и импланты стала физиологичной, исчез дискомфорт при жевании. Улыбка приобрела гармоничный и естественный вид (Фото 9). Пациент отметил комфорт, возможность свободно принимать пищу, остался доволен результатом лечения и своей улыбкой.

Стоматолог-хирург: Павлова Ольга Юрьевна

Стоматолог-ортопед: Калинин Антон Сергеевич

Стоматолог-терапевт:  Будаева Ирина Олеговна 

Внимательно выслушаем о проблеме, подберём подходящего врача и подробно объясним, как будет проходить лечение.

Ответим на все вопросы

и сделаем процесс понятным и комфортным

Загрузка...