м. Третьяковская (Москва)
Голиковский переулок, 5
Время работы:
пн-вс: 9:00 — 21:00

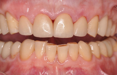
От сколов к идеальной линии улыбки

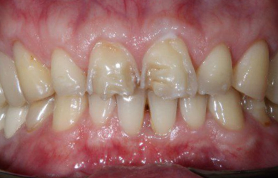
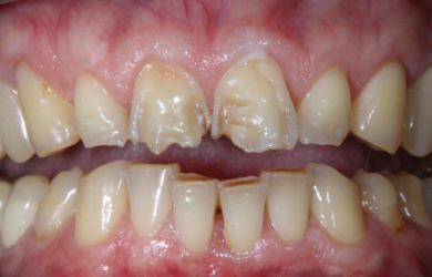
Проблема: Жалобы на сколы передних зубов, выраженное нарушение эстетики улыбки. Имеется значительное стирание режущих краёв, изменение формы и цвета зубов.

Решение: Восстановление фронтальной группы керамическими коронками E-max.

Лечение: Проведена подготовка передних зубов, выполнены временные конструкции для адаптации. После согласования формы и цвета изготовлены индивидуальные коронки E-max и проведена их постоянная фиксация.

Результат: Восстановлена форма и эстетика передних зубов, получена естественная и гармоничная улыбка. Пациент доволен.

Лечение проводила врач:  Аверкина Ирина Юрьевна

Внимательно выслушаем о проблеме, подберём подходящего врача и подробно объясним, как будет проходить лечение.

Ответим на все вопросы

и сделаем процесс понятным и комфортным

Загрузка...