м. Третьяковская (Москва)
Голиковский переулок, 5
Время работы:
пн-вс: 9:00 — 21:00

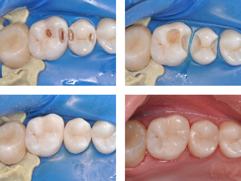
Проблема межзубных промежутков

Проблема: Пациент жалуется на застревание пищи между зубами.

Лечение: Проведена коррекция контактных пунктов между зубами: восстановление анатомической формы пломб, замена старых реставраций с нарушенной адаптацией.

Результат: После завершения лечения кариозных поражений болевые ощущения исчезли, чувствительность зубов при приёме холодной или сладкой пищи полностью ушли. Теперь пациент может комфортно питаться, не испытывая дискомфорта, а также в будущем избежит риска осложнений, таких как пульпит или периодонтит.

Лечащий врач: Будаева Ирина Олеговна

Внимательно выслушаем о проблеме, подберём подходящего врача и подробно объясним, как будет проходить лечение.

Ответим на все вопросы

и сделаем процесс понятным и комфортным

Загрузка...