м. Третьяковская (Москва)
Голиковский переулок, 5
Время работы:
пн-вс: 9:00 — 21:00

Экструзия и сохранение зуба, сломанного глубоко под десну

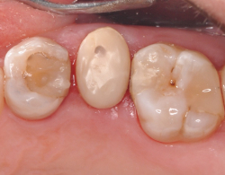
Проблема: Пациентка обратилась с жалобами на перелом зуба на верхней челюсти и  боли при жевании.

Диагностика: После осмотра, проведения КТ- исследования, был выявлен перелом зуба, который располагался глубоко под десной.

Раньше — такие зубы сразу приговаривали к удалению, так как невозможно в таких условиях было  установить коронку на зуб, которая будет плотно прилегать к разрушенному краю.

Решение — было проведено эндодонтическое лечение зуба( лечение каналов) —  и было проведено восстановление сломанной стенки зуба. 

Лечение проводила врач:  Будаева Ирина Олеговна

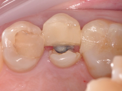
Далее — была проведена экструзия зуба (зуб вытянули вниз) при помощи ортодонтических винтов и тяг.

Лечение проводила врач: Павлова Ольга Юрьевна

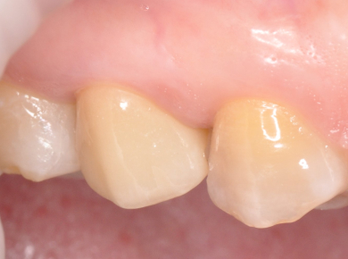
В завершении — когда сломанный край зуба был уже на поверхности, ортопед произвёл покрытие зуба коронкой.

Лечение проводил врач: Калинин Антон Сергеевич

Результат: Удаления зуба удалось избежать. Благодаря командному подходу и последовательному лечению зуб был полностью сохранён: восстановлены коронковая часть и функция, устранена боль при жевании.

Внимательно выслушаем о проблеме, подберём подходящего врача и подробно объясним, как будет проходить лечение.

Ответим на все вопросы

и сделаем процесс понятным и комфортным

Загрузка...